Liver disease is frighteningly common worldwide.
Metabolic dysfunction-associated steatotic liver disease, or MASLD, is an umbrella term describing conditions related to a buildup of fat in the liver. Formerly known as nonalcoholic fatty liver disease, this condition affects 1 in 4 people worldwide. Among those with type 2 diabetes, insulin resistance, obesity or all three, the prevalence of MASLD increases to 3 in 4 people.
As a diabetologist, the possibility of liver disease is on my mind every time I see a patient. Understanding your risk of developing this common yet underrecognized condition is essential to treating it.
What is MASLD?
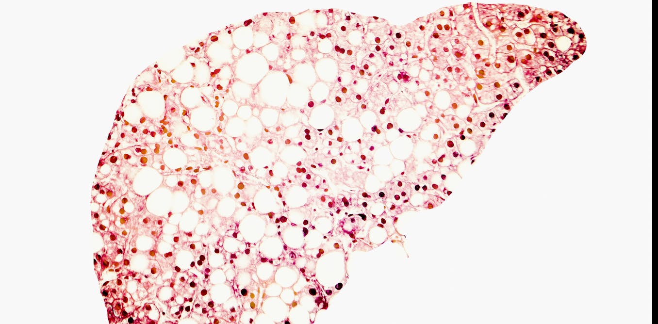
MASLD is a complex disorder with both environmental and genetic contributions. In its early stages, liver cells accumulate fat in a process called steatosis. Major sources of this fat include adipose tissue as well as fatty acids the liver makes in response to insulin resistance and excess caloric intake. This fat accumulation can enlarge the liver and interfere with its normal functioning.
Over time, fatty acids activate enzymes, which can produce toxic byproducts capable of causing liver cell injury, inflammation and scarring. This condition is better known as MASH, or metabolic dysfunction-associated steatohepatitis. Progression to MASH is more common in the presence of other risk factors such as type 2 diabetes, insulin resistance and metabolic syndrome.
Left unaddressed, MASLD and MASH can progress to liver scarring, failure and, in some cases, cancer. They also increase risk of death from cardiovascular disease and liver-related complications.
In the U.S., MASH is the leading cause of liver transplants due to hepatic cancer among women and in those 65 and older. It is also on track to overtake hepatitis B and C as the main reason people develop liver cancer and thus need a liver transplant.
Liver disease and type 2 diabetes
Three out of four people with type 2 diabetes have MASLD. Linking liver disease, type 2 diabetes and obesity is the key role insulin resistance plays in their genesis.
Obesity is associated with increased fat deposits around the internal organs and higher levels of fatty acids delivered to the liver. Accumulation of fat in the liver increases its resistance to insulin.
Dr. David Kleiner, National Cancer Institute/NIH via Flickr
Normally, insulin suppresses glucose production in the liver when blood sugar is high. When the liver becomes resistant to insulin, it produces more glucose despite elevated blood sugar levels, which in turn contributes to the development of type 2 diabetes.
A 2015 meta-analysis found that people with MASLD have a nearly twofold greater risk of developing type 2 diabetes than those without the disease. MASLD is also more likely to progress to MASH in the presence of type 2 diabetes.
MASLD disproportionately affects certain ethnic groups. For instance, 1 in 5 people of Hispanic descent in the U.S. have MASLD, with or without diabetes. This is thought to be related to genetic mutations that affect how the liver cells process fat. One particular mutation more common in Hispanic people promotes steatosis by interfering with the cells’ ability to clear fat deposits.
Treating MASLD and MASH
The silver lining is that management of obesity and type 2 diabetes – such as through lifestyle changes – is very similar to management of MASLD. The most critical early interventions for type 2 diabetes can also help with MASLD, and this is not surprising given how closely interrelated these two conditions are.
The best way to reverse the early stages of MASLD is with weight loss through healthy eating habits and regular exercise. The aim is to shed at least 5% to 10% of initial body weight, maintain that weight loss through sustainable and realistic lifestyle choices, and avoid excess alcohol intake to limit additional liver injury.
New medications to treat diabetes, such as GLP-1 receptor agonists like Ozempic and Mounjaro, as well as SGLT2 inhibitors like Jardiance or Invokana, have also shown benefit in early stages of MASLD. These drugs promote weight loss, which in turn improves MASLD. In addition, studies have shown that Ozempic and Mounjaro could reverse MASH, even with inflammation and fibrosis.
Older medications used for diabetes, such as pioglitazone, typically can also help reduce the progression of MASH by reducing insulin resistance.
In people with severe obesity or who have not had success with lifestyle changes and weight loss drugs, bariatric surgery is another highly effective option to treat MASLD, as it is associated with significant and sustained weight loss.
New drugs are also in the pipeline. The Food and Drug Administration recently approved a new medication called resmetirom to treat MASH with advanced liver scarring.
However, a cure for this chronic disease remains elusive. This is why it is essential to diagnose MASLD as early as possible and use proven measures that can be maintained long term. Treatments and lifestyle changes need to be deployed as early as possible, before inflammation and scarring have firmly set in. MASH gets trickier to treat in more advanced stages when liver damage becomes irreversible. For instance, while Ozempic may help treat early MASH, it doesn’t benefit patients with more advanced stages of liver scarring.
Ignorance is not bliss
Very few people are aware of MASLD and its health implications, including those living with it. While roughly over 35% of U.S. adults have MASLD, less than 5% are aware they have liver disease.
MASH can be difficult to diagnose because it either causes no symptoms or can be mistaken for other conditions. Patients may have the condition for years and not be aware that it is slowly and meticulously causing damage. In that sense, MASH is strikingly similar to type 2 diabetes or high cholesterol.

supersizer/E+ via Getty Images
Young people are increasingly being diagnosed with early-onset MASLD. Indeed, MASLD with MASH is the most common pediatric liver condition, affecting nearly 8% of children and adolescents and over 34% of children with obesity in the U.S. These children and adolescents are at high risk of developing type 2 diabetes and have a significantly increased lifetime risk of cardiovascular disease and cancer.
Health care costs for people with type 2 diabetes and MASH are estimated to reach US$55 billion over the next 20 years, accounting for 65,000 liver transplants, 1.37 million cardiovascular-related deaths and 812,000 liver-related deaths.
These grim statistics need not be if MASH is tackled early and aggressively.
If you are one of the millions of Americans with prediabetes or diabetes and are also overweight, you most likely have some degree of MASLD or MASH. Being aware of MASLD and getting checked is the first step to addressing it.
Promptly determining the best way to treat your MASLD or MASH is the next step. An early referral to a liver specialist will help you halt the progression of this challenging and common condition and take advantage of the treatment breakthroughs researchers have made in the past few years.

The post “Diabetes and obesity can damage the liver to the point of failure – but few people know their risk of developing liver disease” by Madona Azar, Associate Professor of Medicine, UMass Chan Medical School was published on 07/22/2024 by theconversation.com
Leave a Reply